Gran avance Médico en Yucatán: IMSS logra la primera cirugía cerebral con un adolescente despierto

Por La Chispa
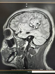
Un hecho sin precedentes ocurrió en Yucatán: especialistas del IMSS lograron realizar la primera craneotomía en un paciente pediátrico consciente. El joven de 16 años permaneció despierto mientras los médicos extirpaban un tumor cerebral de 5 centímetros, permitiendo monitorear en tiempo real su lenguaje, movilidad y funciones cognitivas.
Innovación médica en el IMSS Yucatán
La cirugía, realizada en la Unidad Médica de Alta Especialidad (UMAE) del IMSS Mérida, fue encabezada por el neurocirujano pediátrico Dr. Gabriel Cachón Cámara, junto con un equipo multidisciplinario de anestesiólogos, neuropsicólogos y personal médico.


Este tipo de intervención —conocida como craneotomía con paciente despierto— es una técnica avanzada que permite evaluar las áreas del cerebro en tiempo real, reduciendo el riesgo de dañar zonas esenciales. Su aplicación en un adolescente es un paso histórico que coloca a Yucatán en el mapa de la medicina moderna.
Detalles del procedimiento quirúrgico
Durante las seis horas que duró la operación, el equipo médico mantuvo una comunicación constante con el paciente, quien respondía preguntas, movía las extremidades y repetía palabras para garantizar que las áreas del habla y la motricidad permanecieran intactas.
Tras seis horas de intervención, el tumor fue retirado exitosamente al 100% y el paciente preservó sus funciones motrices y del habla, marcando un hito histórico en la medicina de Yucatán y del país.
Testimonio de esperanza
Francisco, quien llegó desde Cancún, agradeció emocionado:
“Tenía miedo, pensé que no volvería a moverme o hablar, pero aquí estoy. Gracias a los doctores por devolverme la vida”.
Su historia simboliza no solo un triunfo médico, sino también humano, demostrando cómo la ciencia, la tecnología y la empatía pueden transformar vidas.
Compromiso y liderazgo médico
El director de la UMAE, Dr. Roberto Abraham Betancourt, celebró este logro como un reflejo del compromiso del IMSS con la innovación, la ciencia y la calidad humana en la atención médica.
Este avance es resultado de años de preparación, colaboración y confianza en la investigación aplicada a la salud. IMSS Yucatán continúa consolidándose como referente nacional en neurocirugía pediátrica.

Importancia de este avance para la medicina mexicana
Este procedimiento pionero abre la puerta a nuevas oportunidades en el tratamiento de tumores cerebrales y trastornos neurológicos en menores de edad. Además, posiciona al IMSS como una institución líder en la adopción de técnicas quirúrgicas innovadoras.
En el futuro, este tipo de cirugías podría extenderse a otros centros médicos del país, beneficiando a más pacientes que enfrentan enfermedades neurológicas complejas.
Un triunfo para la ciencia, la juventud y Yucatán
Este logro del IMSS Yucatán no solo representa una victoria médica, sino también un motivo de orgullo para la comunidad científica mexicana.
La historia de Francisco inspira a jóvenes médicos, investigadores y familias que enfrentan enfermedades difíciles.
